2

正常人类的染色体数量,科学家最新发现

关于【正常人类的染色体数量】,科学家最新发现,今天小编给您分享一下,如果对您有所帮助别忘了关注本站哦。

引言:在自然界中,哺乳动物的繁衍一般需要雌雄两种性别的个体来共同完成,而Y染色体是雄性哺乳动物特有的染色体,正是Y染色体,赋予了雄性动物强健而勇猛的外形,造就了人类社会几千年的男权王朝。可是,近代科学的研究结果显示,人类的Y染色体正在不断的缩短,那么,未来的人类,是否会失去男性这一性别呢?

正常人类的染色体数量,科学家最新发现

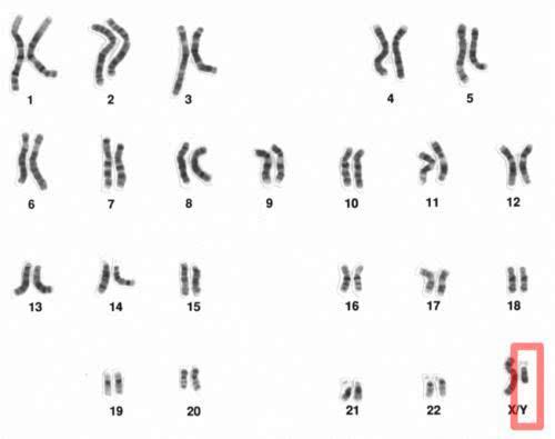
在高中的生物课本里,我们可以知道人类拥有23对染色体,其中一对染色体决定了人类的性别,分别是XX和XY,女性的性染色体是XX,男性的则是XY,剩余的22对染色体被称为常染色体。

正常人类的染色体数量,科学家最新发现

在进行基因重组的时候,女性的X染色体和男性的X、Y染色体都可以重组,Y染色体具有决定性别的作用,如果受精卵中有Y染色体,那么,女性将会诞下一个男宝宝。

正常人类的染色体数量,科学家最新发现

提到男性,我们都会想到强健、阳刚一类的词语,这一般都是由Y染色体决定的。因为Y染色体携带着“主开关”基因SRY,它决定了胚胎是否会发育成男性。可是,近年来的研究结果显示,Y染色体正在逐渐退化,甚至可能会在460万年之后彻底消失,这是怎么一回事呢?

正常人类的染色体数量,科学家最新发现

在哺乳动物刚刚形成的时候,Y染色体和X染色体差别并不大,它们都包含着相同的基因。但是,Y染色体有一个天生的缺陷,那就是每个细胞都会有2个染色体,可 Y染色体只能存储一份基因,且只会由父亲传给儿子。

正常人类的染色体数量,科学家最新发现

这就意味着,Y染色体之间不能进行基因重组,只能和X染色体配对。在漫长的岁月里,每一次配对,Y染色体都可能会丢失部分基因,随着时间的推移,Y染色体携带的基因也就越来越少。

正常人类的染色体数量,科学家最新发现

看来,我们的Y染色体真的就要消失了吗?也不尽然,Y染色体自身正在非常努力的减少基因丢失的速度,就像一辆向前飞驰的汽车猛踩了一脚刹车一样。而且,Y染色体发展出了一种特殊的“回文”结构,使DNA序列无论正向还是逆向翻译,读取的蛋白质都是相同的,Y染色体也开始利用未损坏的备份拷贝作为模板,用来修复已经受损的基因,这在一定程度上减缓了它退化的速度。

正常人类的染色体数量,科学家最新发现

尽管如此,一些科学家对于Y染色体的未来还是保持了悲观的态度。他们认为人类的Y染色体早晚都会消失,就像一些田鼠一样,有些田鼠已经完全失去了Y染色体,导致它们的繁衍成为了一个大问题。不过,这并不意味着人类丢失Y染色体后就不能继续繁衍下去。染色体是基因的载体,只要决定性别的基因可以存在于其它常染色体上,我们就可以在没有Y染色体的情况下生育出健康的男性宝宝。

正常人类的染色体数量,科学家最新发现

笔者认为,在科技高度发达的今天,我们不必过于担心Y染色体退化带来的风险,因为我们完全可以通过基因工程来解决这个问题。而且,根据最新的研究结果显示,人类的Y染色体携带的基因虽然只有最初的3%,但是,Y染色体似乎变得稳定了。就像上文中说的那样,Y染色体在丢失大部分可有可无的基因后,展开了自救行动,Y染色体大概率不会消失,而是稳定的遗传下去,男性也不会在地球上灭绝了。

本文关键词:正常情况下人的染色体数目,正常人类的染色体数量是多少,人正常的染色体是多少,人类正常染色体类型数为,正常人类染色体数目。这就是关于《正常人类的染色体数量,科学家最新发现》的所有内容,希望对您能有所帮助!

本文来自网络,不代表本站立场。转载请注明出处: https://tj.jiuquan.cc/a-2097968/
1
上一篇 牛皮席是薄的好还是厚的好,牛皮凉席舒适度的参考指标是什么
下一篇 公务员年终奖一般能发多少,公务员年终绩效奖金一般有多少(盘点全国公务员“真实工资”)

为您推荐

联系我们

联系我们

在线咨询: QQ交谈

邮箱: alzn66@foxmail.com

关注微信

微信扫一扫关注我们

返回顶部